Disease Models | Behavioral and Functional Neuroscience Lab

The Behavioral and Functional Neuroscience Laboratory offers a wide range of disease models:

  • Alzheimer's Disease
  • Down Syndrome
  • Experimental Autoimmune Encephalomyelitis (EAE)
  • Focal Ischemia (Stroke)
  • Huntington's Disease
  • Two-Vessel Occlusion Global Ischemia (Stroke)

Alzheimer's Disease

Image
Figure 3

T41B (Thy1-hAPPLond/Swe+ [Line 41])

T41b transgenic mice show mature amyloid-beta plaques, pathological hallmarks of AD, in the frontal cortex as early as 3-4 months of age and develop plaques in the hippocampus, thalamus, olfactory region, basolateral amygdala, and subiculum at the age of 5-7 months.

Image
Model

PS19 (B6;C3-Tg(Prnp-MAPT*P301S)PS19Vle/J)

PS19 transgenic mice express the P301S mutant form of human tau and develop progressive accumulation of neurofibrillary tangles with age.  Thus, the strain is commonly used as a model of tauopathy, such as Alzheimer's Disease.

5XFAD

Coming soon...

Taconic APPSWE

Coming soon...

Down's Syndrome

Image
Ts65Dn

Ts65Dn (B6EiC3Sn-a/A-Ts (1716)65Dn)

Ts65Dn mice are the most commonly used mouse model of Down Syndrome (DS). This mouse is generated by Robertsonian segmental translocation of mouse chromosome 16 (MMU16) to the MMU17 centromere. This chromosomal segment contains an extra copy of more than 100 gene homologues to HSA21. Ts65Dn mice have shorter life expectancies and show morphological, neurological, and structural abnormalities that parallel those found in patients with DS.

Focal Ischemia (Stroke)

Image
mcao

MCAO (Experimental Middle Cerebral Artery Ischemia and Functional Recovery)

Middle Cerebral Artery occlusion involves temporarily or permanently restricting MCA blood flow to the cortex and striatum by inserting intraluminal suture in the internal carotid via an incision in the external carotid. The suture lodges in the junction between the anterior and middle cerebral arteries and remains in place either for a predetermined amount of time or permanently. 

Huntington Disease

Image

R6/2 (B6CBA-Tg(HDexon1)62Gpb/3J)

R6/2 transgenic mice display progressive phenotype reminiscent of Huntington Disease (HD) in humans, including choreiform-like movements, involuntary stereotypic movements, tremor, and epileptic seizures, as well as non motor symptoms, including unusual vocalization. Frequent urination and loss of body weight and muscle bulk occurs with disease progression. Neurological developments include Neuronal Intranuclear Inclusions, which contain both the huntingtin and ubiquitin proteins. Onset of HD symptoms occurs between 15 and 21 weeks of age. This line is transgenic for the 5' end of the human HD gene carrying approximately 120 +/- 5 (CAG)repeat expansions.

BACHD

Image

 

Coming soon...

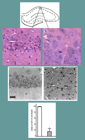
Two-Vessel Occlusion Global Ischemia (stroke)

Image
Two Vessel model

Coming soon...

Experimental Autoimmune Encephalomyelitis (EAE)

Image
Experimental Autoimmune Encephalomyelitis (EAE)

Coming soon...