Displaying 661 - 680 news posts of 1425
Step aside, CRISPR: RNA editing is taking off
Making changes to the molecular messengers that create proteins might offer flexible therapies for cancer, pain or high cholesterol, in addition to genetic disorders.
Stanford researchers conduct census of cell surface proteins
A new technique for systematically surveying proteins on the outer surface of cells, which act like molecular social cues to guide cell-cell interactions and assembly into tissues and organs.
Finding community, empathy online in an era of rage
The online world can be isolating — and it can even contribute to rage, depression and extremism. But technology and the web can also be used to foster community, understanding and even spirituality.
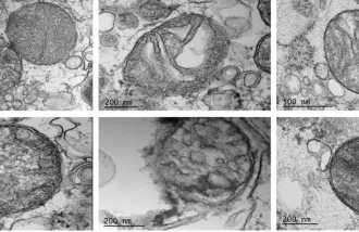
When things go wrong with mitochondria
The oxygen we inhale, combined with the food we eat, generates the energy we need to live, think and blog.
‘Ageotypes’ provide window into how individuals age, Stanford study reports
Stanford scientists have identified specific biological pathways along which individuals age over time.
Suspicion: Why are virus-targeting immune cells sniffing around Alzheimer’s patients’ brains?
A new study has identified T cells targeting the Epstein-Barr virus in autopsied Alzheimer's brains and in cerebrospinal fluid of Alzheimer's patients.
The quest to decipher how the body’s cells sense touch
From a painful pinch to a soft caress, scientists are zooming in on the pressure-sensitive proteins that allow cells to detect tension and pressure.
How long is right now?
As long as it took you to read that headline. Or shorter. Or it might not exist at all.
Engineers develop a less invasive way to study the brain
Optogenetics has revolutionized neuroscience, and materials scientists have now found a way to do it even better.
New methods could help researchers watch neurons compute
A pair of advances in brain imaging technology will help neuroscientists track electrical activity in neurons with a new level of clarity.
Rave new world: Scientists pry apart party drug’s therapeutic, addictive qualities
MDMA can instill in users an unguarded comfort among even the most unfamiliar of faces but is also prone to abuse. Stanford researchers have driven a wedge between these two aspects of the drug.
Alcohol, ‘Asian glow’ mutation may contribute to alzheimer’s disease, study finds
In the presence of alcohol, a defective version of the aldehyde dehydrogenase 2 gene in human cell cultures and mice leads to biochemical changes associated with Alzheimer’s disease.
Why we talk with our hands — and how that may help give speech to the speechless
By Bruce Goldman
Ever wonder why people talk with their hands? We all do -- across cultures, throughout history. Now, a serendipitous discovery building on years of meticulous work tells us what may be the reason -- or at least a reason -- for it.
Two Stanford students named 2020 Marshall Scholars
Senior Erica Scott and coterminal student Mustafa Fattah have been named Marshall Scholars and will use the scholarship to pursue graduate degrees in the United Kingdom.
Brain function irregular in children with Type 1 diabetes, study says
The default mode network, which controls the brain at rest, does not switch off in children with Type 1 diabetes when they focus on a task, a study led by Stanford scientists has shown.
Stanford scientists reliably predict people’s age by measuring proteins in blood
Protein levels in people’s blood can predict their age, a Stanford study has found. The study also found that aging isn’t a smoothly continuous process.
Stanford researchers study motherly poison frogs to understand maternal brain
Stanford biologists are using rare poison frogs that nurse their young as a way to help answer a fundamental question: Is there more than one way to build a maternal brain?
Ultrasound may ease common form of hand tremor
When drugs fail, another option is deep brain stimulation, or DBS, where electrodes are placed in a specific brain region that helps control muscle activity.