Displaying 1 - 20 news posts of 35
Brain organoids are helping researchers, but their use also creates unease
A recent meeting gathered scientists, ethicists, patient advocates and more to discuss organoid ethics.
What we learned about neuroscience in 2025
Researchers studying the human brain shared a lot of fascinating research last year, including a study from Wu Tsai Neuro scientists who replicated the brain's pain circuits.
Experts met to discuss the ethics of using organoids in research
Organoids are bits of neural tissue that model human brain development. Their use in science makes some uneasy, in part because the brain is so closely tied to our sense of self.
New Stanford center bridges neuroscience and data science to decode the brain
Stanford Data Science and the Wu Tsai Neurosciences Institute have launched a collaborative hub to accelerate discovery in neuroscience and train the next generation of data-driven neuroscientists
How to rewire a fruit fly brain
Wu Tsai Neuro researchers reprogrammed fruit fly brain development and behavior using new discoveries about how attractive and repulsive molecules build neural circuits
Scientists and bioethicists call for global oversight of brain organoid research
Scientists and ethicists including Wu Tsai Neuro affiliates Sergiu Pașca and Hank Greely argued for an international process to address the ethical and social questions raised by organoids.
‘Our goal is to build bridges between the lab and the classroom’
By studying why some kids struggle to read, cognitive neuroscientist Jason Yeatman hopes to make education work better for all students and deepen science’s understanding of the brain.
Mom’s voice boosts language-center development in preemies’ brains, study finds
Premature babies who heard recordings of their mothers reading to them had more mature white matter in a key language area of the brain, Wu Tsai Neuro affiliate Heidi Feldman and colleagues found.
Student researchers probe the mysteries of the brain
Stanford undergrads and local community college students paired with Wu Tsai Neurosciences Institute researchers to find new ways to head off strokes, predict Alzheimer's disease, and more.
Researchers turn mouse scalp transparent to image brain development
Wu Tsai Neuro affiliate Guosong Hong and colleagues developed a new technique to observe neuron formation and firing in juvenile mice, potentially enhancing our understanding of neurodevelopmental disorders and enabling new interventions.
How we learn to read (and why some struggle)
In this episode, we explore the fascinating neuroscience behind how children learn to read with Bruce McCandliss, director of the Stanford Educational Neuroscience Initiative.
Why voices light us up—but leave the autistic brain in the dark
In which neuroscientist Dan Abrams shares the quest to understand how our brains are tuned for voices, and why this instinct fails to develop in children with autism.
‘The human brain remains the final frontier’
Stanford neuroscientist Sergiu Pasca is pioneering technology to recreate human brain tissue and neural circuits in the lab – giving scientists unprecedented access to human brain development and opening new possibilities for treating disorders from psychiatric disease to chronic pain.
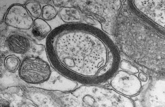
Myelin matters
A decade ago, three generations of Stanford scientists banded together to publish a landmark study on one of the brain’s most prevalent structures. Today, Wu Tsai Neurosciences Institute researchers are discovering that myelin is key to just about every aspect of neurological health.
Re-creating neural pathway in dish may speed pain treatment
Researchers with the Wu Tsai Neuro–funded Stanford Brain Organogenesis project have rebuilt, in laboratory glassware, the neural pathway that sends information from the body’s periphery to the brain.
What the other half of the brain does
This week on the podcast, Stanford cell biologist Brad Zuchero takes us on a tour of the frontiers of glia-science
Bridging nature and nurture: The brain's flexible foundation from birth
By studying never-before-seen details of brain connectivity in human infants, researchers at the Wu Tsai Neurosciences Institute have identified how a balance of innate structure and flexible learning produces our remarkably organized visual brains.
Stanford team builds tool to keep young readers from falling through the cracks
Associate professor Jason Yeatman discusses the adoption of the Stanford-developed Rapid Online Assessment of Reading (ROAR) as a state-approved dyslexia screening tool in California.
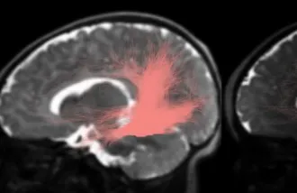
Practice doesn't always make perfect: Seizures worsen by co-opting one of the brain’s mechanisms for learning
Juliet Knowles's research has recently shown that the brain can use adaptive myelination to perfect “skills” that are actually pathological, such as having seizures.
Seeing sounds, tasting colors (re-release)
Today, we are going back into the archives for a conversation with neuroscientist, entrepreneur, and best-selling author David Eagleman about the science of synesthesia. If you don't know what that is, you're about to find out.