Displaying 961 - 980 news posts of 1425
Artificial intelligence helps Stanford computer scientists predict the side effects of millions of drug combinations
Millions of people take upwards of five medications a day, but testing the side effects of such combinations is impractical. Now, Stanford computer scientists have figured out how to predict side effects using artificial intelligence.
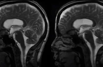
The beating brain: A video captures the organ’s rhythmic pulsations
Your brain doesn't just sits still inside your skull, it rhythmically bulges and shrinks with each heartbeat, by an amount equivalent to a bit less the width of a human hair.
How a Stanford neurobiologist thinks about his faith
By Nathan Collins
It's not a secret that William Newsome, PhD, a world-renowned neurobiologist, is also a Christian. But on the other hand, it's not something he wears on his sleeve — so most people probably don't realize that his faith helped inspire his interest in the brain, that his mother and father encouraged his interest in science or that he sees parallels between his father's pastoral work and his own work leading a lab at Stanford.
Big Ideas in Neuroscience: Eight interdisciplinary initiatives advance to full proposal stage
The Institute is pleased to announce that it has selected eight Big Ideas Letters of Intent for development into full proposals.
Learning through sound
The audible world contains vast amounts of information about the world around us. Scholars from across Stanford are exploring this invisible landscape as a research tool and as a way of understanding each other.
Why nicotine-mimicking molecules might make great anti-inflammatory drugs for MS, RA, gout and more
Nicotine — a highly addictive substance that keeps tobacco smokers hooked on the habit — has actually been shown to have therapeutic properties.
Annual awards recognize excellence in teaching, patient care and more
Anthony Ricci, PhD, professor of otolaryngology-head and neck surgery and the Edward C. and Amy H. Sewall Professor, received the Award for Excellence in Diversity and Inclusion. Theo Palmer, PhD, professor of neurosurgery, received the Award for Excellen
Stanford psychiatrist, engineer and neuroscientist Karl Deisseroth wins 2018 Kyoto Prize
Stanford psychiatrist, engineer and neuroscientist Karl Deisseroth, MD, PhD, has just won the heralded 2018 Kyoto Prize in advanced technology for his invention and application of optogenetics, an unparalleled method for understanding how the brain works.
Karl Deisseroth wins Kyoto Prize for seminal role in creation, use of optogenetics
The award, which includes a gift of 100 million yen (about $913,000), recognizes the neuroscientist for pioneering and advancing a technology for studying brain circuits.
Paul Yock receives National Academy of Engineering’s Gordon Prize
Paul Yock, professor of medicine and bioengineering, was recently recognized by the National Academy of Engineering with the 2018 Bernard M. Gordon Prize for Innovation in Engineering and Technology Education.
2018 McKnight Scholar Awards
Brad Zuchero Ph.D., Assistant Professor of Neurosurgery at Stanford University, selected to receive the 2018 McKnight Scholar Award.
Graduation awards announced
Dean of Research Ann Arvin will be awarded the Cuthbertson Award at Commencement. She is one of seven people to be honored with awards on Sunday.
Stanford researchers explore how the human mind shapes reality
The mind can shape health, behavior and maybe even society as a whole. Stanford researchers are bridging disciplines to understand what our minds can do and how they do it.
To prevent an antibiotic from causing hearing loss, researchers team up to design new drugs
Anthony Ricci, a professor of otolaryngology-head and neck surgery, and a self-confirmed lab rat, has seen firsthand how certain life-saving antibiotics can wreak havoc on what is his area of expertise — the inner ear.
Train delays, the new subway plan and the perception of time
Time is a funny thing. All minutes are 60 seconds long. But some last longer than others. And there may be no minute that lasts as long or causes as much distress as a minute spent on an unmoving New York City subway train, somewhere in a dark tunnel, ber
Using medicine and science to improve the quality of life
Medical and scientific breakthroughs, some with ethical concerns, are being used to help people.
This is why it’s so hard to help with your kid’s math homework
The simple answer to why math education has changed, “Common Core State Standards,” is only part of the story.